歯を白く輝かせるホワイトニング

当院では、ホームホワイトニングを導入しております。
このホームホワイトニングは、ご自宅でゆっくりなさっている時など、ご自身のペースでホワイトニングをしていただく方法です。
歯を削ることなく、ご自身の歯をより白くしたい方にお勧めの方法です。
※目安は3~4週間です。
ホームホワイトニングとは

自宅でマウスピースにホワイトニング剤を注入し、毎日一定時間行うことで歯を白くする方法です。
利点としてオフィスホワイトニングより、知覚過敏が起こりにくく色の後戻りも若干遅いと言われています。
ホワイトニング効果を持続させたい。芸能人のようにいつでも白く輝く歯で過ごしたい方は、このホームホワイトニングは最適です。
ホームホワイトニングの手順
-
- 1口腔内検査
-
口腔内診査と綿密なカウンセリングをおこない、プロセスをご提案いたします。
-
- 2歯型の採取
-
歯型の石膏模型を作成し、それにあわせてホワイトニングトレーを作成します。
-
- 3使用法の説明
-
ホワイトニング剤の使用方法など、ご自宅での使用法と注意事項について説明し、ホワイトニングキットをお渡しします。
-
- 4実施
-
使用法に従ってホームホワイトニングを実施します。
-
- 5定期検診
-
約2週間で効果が出ます。ホワイトニングの効果には個人差があります。1~2週間ごとにご来院ください。
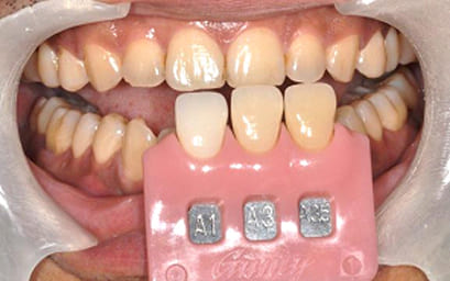
ホワイトニングの症例ケース
ホームホワイトニング
-

Before
-

After
