歯列矯正歯科
当院は矯正治療に30年以上をかけ、研鑽を積んできた歴史があります

歯科だけではなく、内科や外科などの医療機関で治療を受ける患者様にとって、医師の経験と実績が最も安心できる指標・目安になると思います。
坂本歯科医院は、既に多くの矯正治療の実績と経験があります。また、常に最新技術と設備を取り入れておりますので、安心して治療を受けていただけるものと思います。
矯正歯科治療って必要なの?
歯並びが悪いと様々な障害も出てきます
虫歯になりやすい、発音に影響する、食べる時に効率が悪い、顎の成長や発育に悪いなどの影響を与える事などがあります。
出っ歯・受け口・乱ぐい歯など・・・歯並びが悪くお悩みの方へ
矯正治療を行う事により、きれいな歯並びになるのはもちろん虫歯や歯周病の予防になる・噛めるようになる・発音が良くなる・調和の取れた顔立ちになるなどの効用があります。
正しい歯並びの条件
正しい歯並びとは、歯がきれいに並んでかみ合っているだけでなく、それに正しい機能が伴っていることが大切です。それに必要な代表的なポイントをあげます。
-
- POINT 01
-
前後のバランス
-
- POINT 02
-
左右のバランス
-
- POINT 03
-
上下のバランス
-
- POINT 04
-
スペースバランス
-
- POINT 05
-
口元
- 後退感や突出感がない
- 楽に唇を閉じることができる
-
- POINT 06
-
歯・歯周組織
- 親知らずを除いて28本の歯が揃っている
- 歯が異常な形をしていない
- 歯ぐきや歯を支えている骨が健康である
-
- POINT 07
-
機能
- 食べる、話すなどの機能に問題がない
- 異常な癖がない
正常咬合
前後のバランス

- 上下の顎の大きさのバランスがとれている
- 前歯は上が下の2mm程度前方にある
- 奥歯は1本に対して2本が咬み合っている
左右のバランス

- 骨格が左右対称である
- 上下の前歯の真ん中が一致している
- 上の歯に下の歯の外側の山が咬み合っている
上下のバランス

- 骨格的に上下の長さのバランスがとれている
- 上と下の前歯が2mm程度重なっている
スペース

- 歯が一列に並んでいる
- 歯が重なっているところやスペースがない
不正咬合
前後のバランス

上顎前突

下顎前突
一般に、出っ歯や受け口と呼ばれています。上下の顎の大きさといった骨格的なバランスに問題がある場合と、前歯の傾きといった歯の並び方に問題がある場合があります。
6歳臼歯のかみ合わせのズレがどの程度あるかということも、治療法を左右する要素です。習癖が原因で起こる場合もあります。
左右のバランス

交叉(こうさ)咬合

鋏状(はさみじょう)咬合
骨格や歯の咬み合わせが左右どちらかにズレています。骨格のズレがなくても、咬み合わせのズレを放置していると、骨格がズレてくることが多いので、早めに治療が必要です。
交叉咬合は、下の歯が上の歯の外側に出ているかみ合わせのことで、逆に鋏状咬合は、下の歯が上の歯の内側に入っているかみ合わせのことです。
上下のバランス

過蓋(かがい)咬合

開咬(かいこう)
咬み合わせが深いことを過蓋咬合、上下の歯の間にスペースがあいていることを開咬といいます。いずれの場合も、習癖が関与している場合が多く見られます。
特に、開咬は舌癖や口呼吸など、機能の異常によって増悪しますので、咬み合わせを治すのと同時に、機能の改善が必要な場合 が多いです。
スペース

叢生(そうせい)

空隙歯列
顎の大きさと歯の大きさのバランスがとれていない状態です。顎の大きさに比べて歯の並ぶスペースがなく、歯がガタガタしていることを叢生、逆にスペースが余っていることを空隙歯列といいます。
前歯と6歳臼歯がはえると、永久歯が並ぶのにどのくらいスペースが足りていないかを予測することができます。
矯正歯科治療の流れ
-
- 1初診相談
-
現在の問題点・悩みを相談。
将来の展望と矯正治療の概略、概ねの治療期間・費用の説明を致します。
-
- 2精密検査
-
治療するに当たり診断を行います。
診断に必要なレントゲン・CT・歯型・写真などの資料を採取します。
-
- 3検査の説明
-
精密検査の分析結果を基に治療方針・期間・費用の詳細説明を致します。
-
- 4治療開始前に
-
1むし歯・歯周病がある場合には、先に処置を致します。
2ブラッシング指導・その他の予防処置を致します。
-
- 5治療開始
-
可撤式(取り外し)装置、固定装置、マウスピース装置により、動的治療をはじめます。大体3~4週間に1回の割合で通院していただきます。
期間は治療の範囲・難易度により数か月~3年位かかります。
-
- 6保定期間
-
動的治療が完了すると装置を外して、かみ合わせが安定するまで保定装置を装着します。これは移動した歯が安定するまで使用します。
矯正装置の進歩と種類
ブラケット矯正
矯正の治療は「器具が目立つのでいやだ」と思われている方もいらっしゃるかと思います。しかし、下の写真をご覧ください。
左が従来の器具、右は現在の器具です。従来のブラケット矯正に比べて、はるかに目立ちにくくなっていることがお解り頂けると思います。
当院では、非常に優れた目立たないブラケット矯正装置を使用しておりますので、安心して治療に取り組むことができます。
マウスピース矯正
取り外せる矯正治療のとして、マウスピース矯正を導入しております。
マウスピース矯正は、ひとりひとりの治療計画にあったマウスピースを作成し、短期間で歯並びを改善していく矯正治療です。
当院で使用しているマウスピース矯正のシステムは、インビザラインとアソアライナーを採用しております。
これらのマウスピース矯正は、部分的な矯正治療である部分矯正としても行えますので、隙っ歯や出っ歯など気になる部分がありましたら、お気軽にご相談ください。
矯正の効果
ブラケット矯正
-

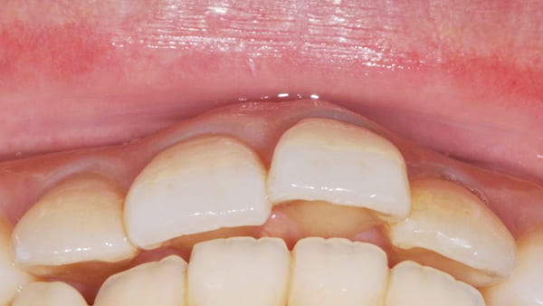
Before
前歯の特に下の歯がきれいに並んでない。
また咬み合わせが悪く、隙間があることがお解りいただけると思います。 -

After
歯並びがきれいになりました。
また、隙間がなくなり咬み合わせがよくなりました。
-

Before
正面の写真より、前歯の咬み合わせの悪さがよりお解りいただけると思います。
奥歯の咬み合わせも悪く、上の1本に対し下の歯が1本しか合っていません。 -

After
前歯がきれいに並んでいます。
また、奥歯の咬み合わせもきちんと1本の歯が2本にかかっています。
上記の説明にあるように本来奥歯というのは上の歯1本が下の歯2本に当たるようになっている状態が正常です。
マウスピース矯正
-

Before
前歯が1本前に出ています。
これをアソアライナーにて部分矯正していきます -

After
きれいな歯並びになりました。治療期間は3~4か月です。
短期間で動くのがアソアライナーの良い点です。
上記のように前歯などで気になるところがありましたら、比較的短期間で痛みもなくキレイな歯並びになります。




