最先端の精密3Dスキャニング装置「iTero」を導入!

時代は確実に変わってきており、歯科業界もデジタルの技術が応用されてきています。
近年、特に目覚ましい進歩を遂げているのが「印象採得」、一般の方には「型取り」という言葉が馴染みがあるでしょうか。型取りは、被せ物やインビザライン(マウスピース矯正装置)を作る上で、必須の工程作業です。
そこにデジタルの技術が導入されています。
当院では、2017年10月より、デジタル印象採得装置「iTero エレメント」を導入し、インビザラインの印象採得を行なっております。従来の印象材を使うことなく、光学的にスキャンすることで、口腔内の3次元データを作成できます。
その精度は、従来の型取りより30%高く、またクラウドを介してデータをシェアできるので、シームレス、タイムレスに作業工程を進めることが可能となりました。つまり精度が高くフィット感の良いインビザラインが、短期間で医院に届くことを可能になる装置が「iTero エレメント」なのです。
- 従来の型取りより快適(苦手な方も多いでしょう!?)。
- 高精度で短気に納品できる。
- フィット感が良いので、しっかり歯が動く。つまり治療スピードが早い。
- 矯正の簡易シミュレーションができる。未来の可視化。
iTeroスキャニングのメリット

-
- 型取りの不快感がない
- 従来の場合、シリコン材を使用して歯型取りをしておりましたが、反射嘔吐など不快な思いをされる患者様が多くいらっしゃいました。iTeroスキャニングはお口の中にスキャンする機械で光をあててスキャンデータを取るだけなので不快な思いをしません。
-
- 短時間の型取りができる
- シリコン材で型を取る場合は、トレーのサイズを合わせたり、シリコンが固まるまで時間が掛かりますが、iTeroスキャニングは光をあててお口の中のデータを取るだけなので、すぐ終わり、インビザラインの治療開始までがスピーディーにおこなえます。
-
- 正確な型取りができる
- iTeroはお口の中の情報を3Dデジタル情報をとして撮影しデータ化をするので、シリコン材による従来の型取りよりも正確に型を取ることができます。
目立たないマウスピース部分矯正

当院では、目立たない歯並び治療にマウスピース部分矯正を用いております。
そして、このマウスピース矯正装置でも特に治療期間が短く、詳細なオーダーメイドにも対応した「インビザライン・システム」と「アソアライナー・システム」を導入しております。
マウスピース部分矯正

取り外せる矯正治療のとして、マウスピース矯正を導入しております。
マウスピース矯正は、ひとりひとりの治療計画にあったマウスピースを作成し、短期間で歯並びを改善していく矯正治療です。
当院で使用しているマウスピース矯正のシステムは、「インビザライン」と「アソアライナー」を採用しております。これらのシステムは、部分的な矯正治療である部分矯正としても行えますので、隙っ歯や出っ歯など気になる部分がありましたらお気軽にご相談ください。

マウスピース矯正の利点と欠点
マウスピース矯正のメリット
-
- メリット 01
-
取り外しが可能である。そのため食事や歯磨きのときは矯正装置を取り外して行うことができます。
-
- メリット 02
-
治療中にホワイトニングが併用してできる。
-
- メリット 03
-
出っ歯や隙っ歯といった部分的な矯正にも対応しています。
-
- メリット 04
-
軽度の後戻り症例にも使用できます。
-
- メリット 05
-
舌癖防止になり、矯正後の後戻りのリスクが減ります。
-
- メリット 06
-
通常の矯正治療の最後の仕上げに使用することもできます。
マウスピース矯正のデメリット
- 指示された使用時間を守らなくてはならない。
- マウスピース矯正は適応できない症例もあるのでご相談ください。
- 装置装着中は歯が当たらないため違和感を覚えるときもある。
マウスピース矯正の症例
CASE.01
主訴
結婚式の半年前に歯並びを治したいとの希望で来院。
治療後のコメント
美容師という職業柄、接客面で矯正装置を付けていると見た目が気になってしまうと思い、このマウスピース矯正のアソアライナーでの矯正治療を希望しました。1日18時間以上、このアソアライナーを付けっ放しにし、もちろん仕事中もしていましたが、見た目も気にすることなく、きれいな歯並びになって良かったです。
結婚式にも間に合ったので、すごくいい挙式ができたと思いますし、写真や動画も一生残るものですので、きれいな歯で映っていてすごく幸せです。とても感謝しています。
-
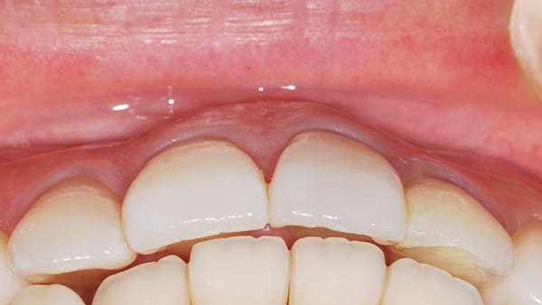
Before
前歯が1本前に出ています。
これをアソアライナーにて部分矯正していきます。 -
After
きれいな歯並びになりました。治療期間は3~4か月です。
目立つ矯正装置が嫌な方にはおススメです。
