歯を強くするフッ素塗布

フッ素(正式にはフッ化物)は、虫歯の進行を防ぐために有効な物質です。
フッ化物を歯に塗布することには次のような効果があります。
- 歯の再石灰化を促進する
- 酸に強い歯を作る(フルオロアパタイトの形成)
- むし歯菌が酸を作る事を抑制する
ちなみにこの3つ目の「むし歯菌が酸を作る事を抑制する」が一番重要です。むし歯は菌が出す酸によって、歯が溶かされ歯に穴が開いてしまいます。
フルオロアパタイトってなに?

歯の主成分はハイドロキシアパタイトという物質です。これにフッ化物が取り込まれるとフルオロアパタイトという物質が形成されます。
このフルオロアパタイトの方が、酸に溶かされにくいために虫歯になりにくくなるというわけです。簡単に言うと、虫歯菌に勝つための防具をつけたようになるということです。
フッ化物だけを塗っていれば大丈夫?

フッ化物を塗ったからと言って、他のことは何もしなくて良いという訳にはいきません。
普段からのプラークコントロールは必要です。歯磨きや糸ようじ・歯間ブラシなどを使って、しっかりプラーク(歯垢)を落としましょう。
フッ素塗布のやり方

プレートを用意
プレートにフッ素を盛る
プレートを歯にはめる
歯を守るシーラント

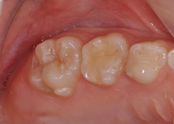
右の奥歯の写真をご覧ください。奥歯の溝というのはかなり複雑なものだとお分かりいただけると思います。
歯磨きをしっかりしているつもりでもこの溝の中にハブラシが入らないことだってあります。特にお子様の歯磨きの場合には…。
そこでシーラントという虫歯予防の奥の手とも言える方法があります。
シーラントとは?
複雑な奥歯の溝を、レジン(プラスチック)の薄い膜で覆ってしまい、虫歯を防ぐ方法です。
-

Before
-

After
シーラントって誰にでも効果的なの?
シーラントが最も効果を発揮するのは生えたての奥歯です。
ですから、6~7歳の乳歯の生えたてと11~13歳頃の永久歯の生えたての時期が最も有効です。
子供は長い時間じっとしていないので・・・
シーラントは、歯の溝を掃除した後に、溝をカバーするだけですから10~15分ほどで終わります。
シーラントの注意事項
シーラントは薄い膜状ですから、割れてしまうことがあります。
割れたシーラントをそのままにしておくと、シーラントをしていない時より虫歯になりやすくなってしまうことがありますので、定期的にチェックを受けて下さい。
